[FSL] [TitleIndex] [WordIndex

Research Overview

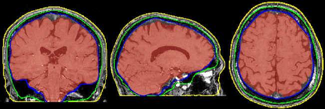
BET

BET (Brain Extraction Tool) deletes non-brain tissue from an image of the whole head. It can also estimate the inner and outer skull surfaces, and outer scalp surface, if you have good quality T1 and T2 input images.

If you use BET, please make sure that you quote the following reference in any publications:

S.M. Smith. Fast robust automated brain extraction. Human Brain Mapping, 17(3):143-155, November 2002.

If you use the skull and scalp surface extraction functions, please also reference the following:

M. Jenkinson, M. Pechaud, and S. Smith. BET2: MR-based estimation of brain, skull and scalp surfaces. In Eleventh Annual Meeting of the Organization for Human Brain Mapping, 2005.


CategoryStructural CategoryBET


2017-04-20 13:23