Contents
Using the Example Data to Learn FSL
Introduction
We now explain how the different tools in FSL can be run on the example data provided in the data subdirectory. We strongly suggest that you work with a copy of data rather than the original, so that you can always go back to the original data if you need to. You can do this by typing (inside feeds)
cp -r data examples cd examples
and then work with the files inside examples.
The instructions given below should produce the same output as provided in data.
Make sure your environment is setup correctly for using FSL - see the Running FSL section on the Downloading and Installing page.
To start the main FSL GUI, type fsl.
To view the output of each tool, either load the output image(s) into your favourite NIFTI image viewer, or use the simple (non-interactive) display program slices which is in the fsl/bin directory (the setup commands above should have already added this to your program search path). Where links appear below, these mostly point to 2D PNG images created by running slicer on the relevant NIFTI format 3D image. (slicer is a command-line program which takes a 3D NIFTI format image and produces a 2D PNG image with various slices at various orientations from the input image; slices is a script which calls slicer and then starts up a 2D image viewer to show you the PNG image.)
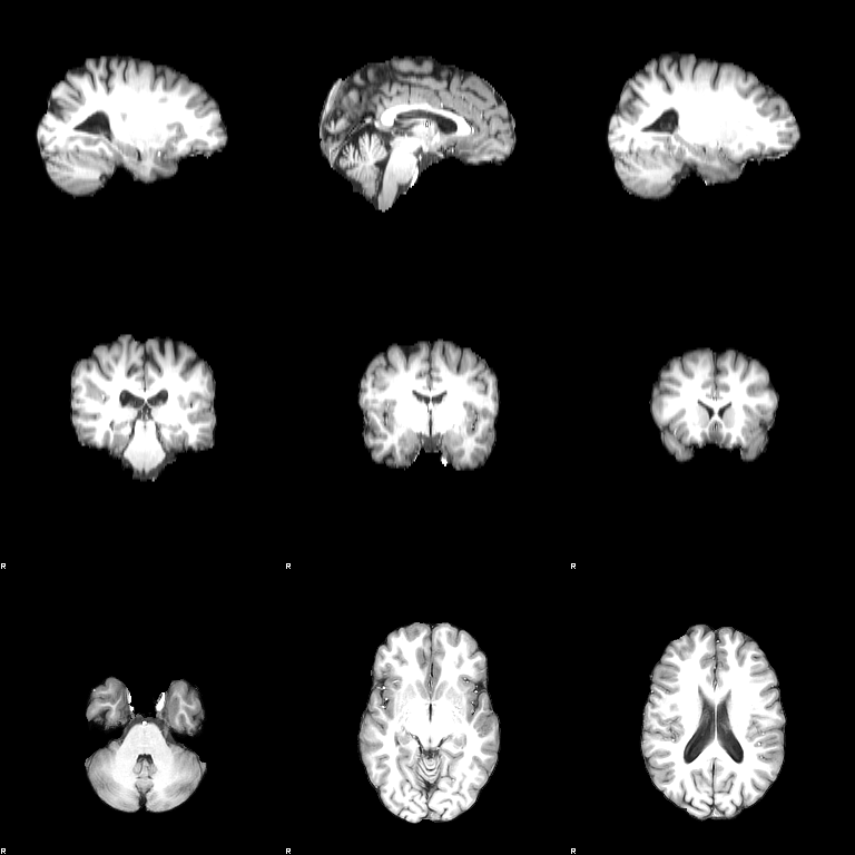
BET
Set the Input image to be structural and press OK. The output will be structural_brain. You will see a message on your terminal when BET has finished.
SUSAN
Set the Input image to be structural. Set the Brightness threshold to 2000 (this is greater than the noise level and less than the grey-white contrast in the input image). Set the Mask SD to 2 (this sets the mask half-width to be 2mm). Press OK. The output will be structural_susan.
FAST
Set the Input image to be structural_brain (i.e. it is important to have run BET first). Turn on the Partial volume maps optional output images. Press Go. The outputs will be structural_brain_seg, structural_brain_pve_0, structural_brain_pve_1 and structural_brain_pve_2.
FLIRT
Set the Input image to be structural_brain. Set the Output image to be structural_brain2standard. Press Go.
FUGUE
FUGUE does not have a GUI. On the command line type:
prelude -c fieldmap -u unwrapped_phase
(fieldmap, unwrapped_phase images) This runs the phase map unwrapping. Now type:
fugue -i epi -p unwrapped_phase -d 0.295 -u unwarped_epi
(epi, unwarped_epi images) This runs the unwarping of the input epi image.
SIENAX
SIENAX does not have a GUI. On the command line type:
sienax structural
This runs the SIENAX cross-sectional (single-time-point) atrophy script, producing a web-page report structural_sienax/report.html.
FEAT
Press Select 4D data and select fmri. Press Stats and Full model setup to setup the GLM details.
Change the Number of original EVs to 2.
Setup EV1 (the visual stimulation timing): set Off to 30, On to 30 and Phase to 30. This describes a square wave of total period 60s, starting with an ON period, hence the phase setting.
Setup EV2 (the auditory stimulation timing): set Off to 45, On to 45 and Phase to 45. This describes a square wave of total period 90s, starting with an ON period, hence the phase setting.
Now setup the Contrasts. Set the Number of contrasts to 2, set the first (OC1) to [1 0] and the second (OC2) to [0 1]. Thus the first output colour overlay image produced will show visual activation as only EV1 is used, and the second will show only auditory activation.
Now setup the F-tests. Set the Number of F-tests to 1. Select both contrasts. Thus the third output colour overlay image produced will show where either visual or auditory activation occurs (i.e. will show both on a single image).
Press Done to finish the model setup.
Set the High pass filter cutoff to 100. Although it is common to set this to 1.5 times the maximum stimulation period (in this case 90*1.5=135), the highpass filter used in FEAT has quite a slow roll-off above the cutoff frequency, so in fact setting this to just over the 90s period time is fine.
The default settings in Pre-stats and Thresholding & rendering can be left as they are.
In the Registration section, select the Main structural image. Set this to structural_brain.
You are now ready to run FEAT. Press Go. As FEAT completes the different stages of processing, you will see messages appear on your terminal. When it has finished, the final messages will tell you the file name of a web page which you can view with your web browser to see the results.
MELODIC
Set the 4D input data to be fmri. Note that this is the same raw data as was input to FEAT - normally you would ideally want to have done some pre-processing to the data before running MELODIC - see the MELODIC help page for more information on this. Press Go. When MELODIC has finished, the final messages will tell you the file name of a web page which you can view with your web browser to see the results.
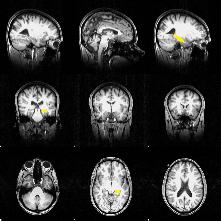
FIRST
First you must register your data to standard space; in a terminal type:
first_flirt structural structural_to_std_sub
(structural, structural_to_std_sub images.) Now run a single structure's segmentation; type:
run_first -i structural -t structural_to_std_sub.mat -n 20 -o structural_first_L_Hipp -m \ ${FSLDIR}/data/first/models_317_bin/L_Hipp_bin.bmv
(${FSLDIR}/data/first/models_317_bin/L_Hipp_bin.bmv image.)
FDT
To reconstruct the example data, open the FDT GUI and change the top option to BEDPOSTX: Estimation of diffusion parameters. Select the input directory fdt_subj1 and pres Go. To load some of the output images into FSLView, type:
cd fdt_subj1.bedpostX fslview nodif_brain mean_f1samples dyads1
then press the (i) near the bottom of FSLView, to bring up the Overlay Information dialog. Make sure dyads is highlighted in the overlay list, and change the Display as to RGB. Change the Modulation to mean_f1samples (this is similar to the fractional anisotropy). You can now see colour-coding of the principal diffusion direction vector. Now change the Display as to Lines to see the same vectors represented as small red lines.